Một bước đột phá công nghệ với vật thể siêu nhỏ chỉ rộng 2mm đã mở ra hy vọng mới cho những người khiếm thị trên toàn cầu. Thiết bị tinh vi này không chỉ giúp họ phục hồi khả năng đọc sách mà còn tái hiện lại ánh sáng trong cuộc sống vốn tưởng chừng đã mất đi mãi mãi. Bài viết dưới đây sẽ khám phá chi tiết về công nghệ chip điện tử Prima và tầm quan trọng của nó trong ngành y học hiện đại.
Giới thiệu về con chip điện tử siêu nhỏ Prima
Con chip điện tử Prima được xem là một trong những phát minh đột phá nhất trong lĩnh vực thị giác nhân tạo. Với kích thước siêu nhỏ, thiết bị này mang đến giải pháp tối ưu giúp khôi phục phần nào thị lực cho những người mắc các bệnh thoái hóa võng mạc nghiêm trọng. Qua nhiều năm nghiên cứu và thử nghiệm, Prima đã chứng minh hiệu quả trong việc cải thiện khả năng nhận biết hình ảnh và chữ viết, mang lại cuộc sống tốt đẹp hơn cho người dùng.

Vật thể chỉ 2mm làm nên điều kỳ diệu, giúp người mù đọc sách trở lại
Kích thước và cấu tạo của con chip
Prima có thiết kế vô cùng nhỏ gọn với kích thước chỉ khoảng 2mm, đủ để dễ dàng được cấy ghép dưới võng mạc mắt mà không gây tổn thương lớn. Cấu tạo bên trong bao gồm hàng nghìn tế bào cảm biến ánh sáng kết hợp với mạch điện tử tinh vi, có khả năng chuyển đổi tín hiệu hình ảnh thành xung điện kích thích trực tiếp tế bào thần kinh võng mạc, từ đó truyền tải thông tin lên não bộ.
Đơn vị nghiên cứu và thử nghiệm lâm sàng quốc tế
Phát triển bởi một nhóm các nhà khoa học hàng đầu tại Mỹ, dự án Prima đã trải qua quá trình thử nghiệm nghiêm ngặt tại nhiều trung tâm y học quốc tế danh tiếng. Sự phối hợp giữa chuyên gia về thần kinh học, kỹ thuật sinh học và bác sĩ nhãn khoa đã giúp hoàn thiện công nghệ này và đưa nó vào giai đoạn thử nghiệm lâm sàng an toàn và hiệu quả.
Tầm quan trọng trong lịch sử thị giác nhân tạo
Trước khi Prima xuất hiện, các phương pháp hỗ trợ thị lực cho người mù chủ yếu dựa trên công nghệ cơ học hoặc hỗ trợ gián tiếp như kính phóng đại. Công nghệ chip điện tử siêu nhỏ đánh dấu bước ngoặt khi lần đầu tiên có thể tái tạo tín hiệu thị giác trực tiếp từ mắt đến não, mở ra kỷ nguyên mới đầy hứa hẹn cho ngành thị giác nhân tạo.
Thoái hóa điểm vàng thể khô – nguyên nhân gây mất thị lực
Thoái hóa điểm vàng thể khô (AMD) là một trong những căn bệnh phổ biến nhất gây suy giảm thị lực nghiêm trọng ở người cao tuổi. Bệnh tác động trực tiếp lên vùng điểm vàng của võng mạc, nơi tập trung nhiều tế bào cảm quang quan trọng nhất để nhìn rõ chi tiết. Khi các tế bào này bị tổn thương hoặc chết đi, người bệnh sẽ dần mất khả năng nhìn sắc nét và cuối cùng có thể dẫn đến mù hoàn toàn.
Đặc điểm bệnh thoái hóa điểm vàng do tuổi tác (AMD)
Bệnh AMD thường tiến triển âm thầm và chậm rãi theo thời gian, bắt đầu bằng việc nhìn mờ vùng trung tâm của hình ảnh hoặc chữ viết. Không giống như các dạng thoái hóa khác, thể khô không có phương pháp điều trị đặc hiệu hiệu quả hoàn toàn nên việc can thiệp sớm là cực kỳ quan trọng nhằm giảm tốc độ mất thị lực.
Tác động đến tế bào cảm quang ở võng mạc
Điểm vàng chứa mật độ cao các tế bào que và nón giúp phân biệt màu sắc và độ tương phản chi tiết. Khi AMD phát triển, các tế bào này bị thoái hóa dần khiến hình ảnh thu nhận trở nên mờ nhòe hoặc biến dạng. Quá trình này khiến hệ thống thần kinh mắt khó gửi thông tin chuẩn xác lên não bộ để xử lý.
Số liệu người bị ảnh hưởng trên thế giới và tại Anh
Trên toàn cầu có hàng triệu người đang chịu ảnh hưởng bởi AMD, với con số tại Anh lên tới hàng trăm nghìn trường hợp mỗi năm. Tỷ lệ mắc bệnh gia tăng nhanh chóng do sự già hóa dân số và lối sống hiện đại khiến nhu cầu tìm kiếm giải pháp hỗ trợ như chip Prima càng trở nên cấp thiết.
Cơ chế hoạt động của công nghệ chip Prima
Công nghệ chip Prima hoạt động dựa trên nguyên lý tái tạo tín hiệu ánh sáng ở mức độ điện tử để kích thích trực tiếp vào võng mạc. Hệ thống kết hợp hài hòa giữa phần cứng cấy ghép bên trong mắt và thiết bị hỗ trợ bên ngoài nhằm chuyển đổi hình ảnh thực tế thành dòng tín hiệu mà não bộ có thể hiểu được, từ đó giúp người bệnh lấy lại khả năng nhận biết hình ảnh cơ bản.

Bộ xử lý ở thiết bị số chuyển hóa hình ảnh thu nhận từ camera và truyền ngược lại về mắt kính của người dùng
Vị trí cấy ghép và phương thức hoạt động dưới võng mạc

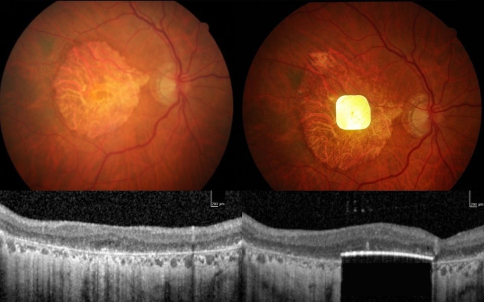
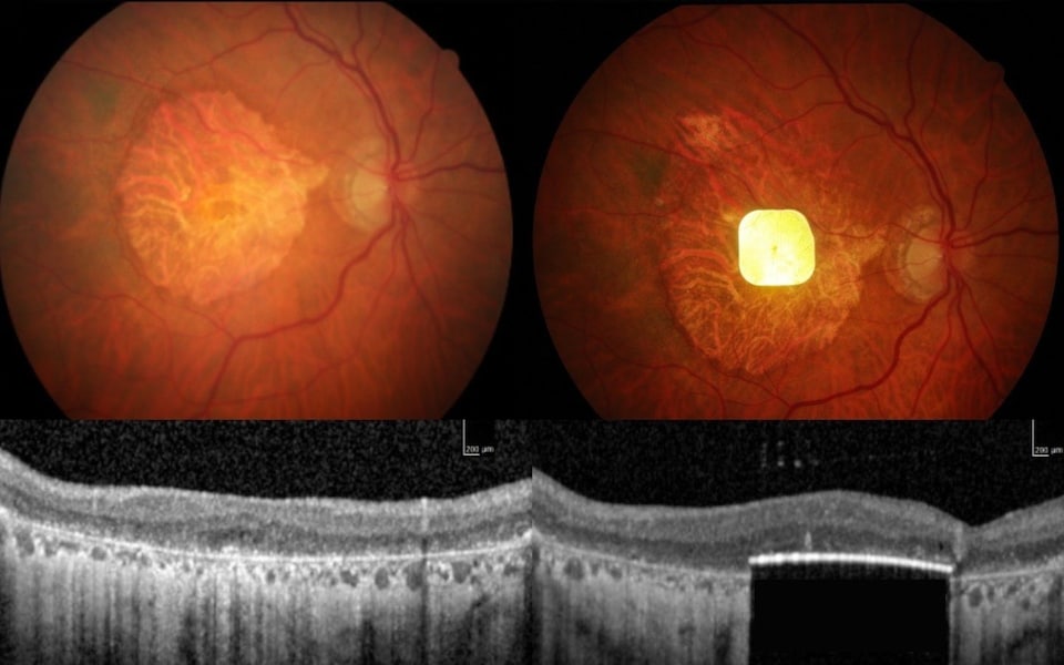
Con chip sẽ được cấy ghép vào mắt người
Con chip được đặt trực tiếp dưới lớp võng mạc – nơi chứa mạng lưới tế bào thần kinh nhận tín hiệu ánh sáng. Vị trí này đảm bảo thiết bị có thể truyền tải xung điện kích thích chính xác đến những tế bào còn khỏe mạnh xung quanh nhằm khôi phục phần nào chức năng truyền tín hiệu lên não.
Vai trò của kính thực tế tăng cường gắn camera

Mắt bên trái đã được cấy ghép chip để hỗ trợ thị giác
Thiết bị kính đặc biệt mang camera tích hợp giúp thu nhận hình ảnh bên ngoài rồi gửi dữ liệu về bộ xử lý trung tâm. Camera đóng vai trò “đôi mắt thứ hai” cung cấp góc nhìn rõ nét cho hệ thống, mở rộng phạm vi quan sát vượt ra ngoài giới hạn tự nhiên của mắt khiếm thị.
Xử lý hình ảnh bằng trí tuệ nhân tạo và truyền tín hiệu hồng ngoại
Sau khi camera thu nhận dữ liệu, thông tin hình ảnh được xử lý qua bộ vi xử lý sử dụng trí tuệ nhân tạo nhằm tối ưu hoá độ sắc nét, tương phản trước khi chuyển đổi sang dạng tín hiệu hồng ngoại đặc biệt. Tín hiệu này sau đó sẽ truyền qua kính đến chip đặt trong mắt để kích thích các tế bào thần kinh.
Kích thích tế bào thần kinh võng mạc và truyền tín hiệu lên não
Khi nhận được xung điện kích thích từ con chip, các tế bào thần kinh võng mạc còn hoạt động sẽ phản ứng bằng cách gửi tín hiệu cảm quang qua dây thần kinh thị giác đến vùng xử lý hình ảnh ở não bộ. Đây là bước quan trọng giúp não tái lập lập trình để “nhìn thấy” các đối tượng trong môi trường xung quanh dù đôi mắt thật đã bị tổn thương nặng.
Kết quả thử nghiệm lâm sàng và hiệu quả phục hồi thị lực
Sau nhiều vòng thử nghiệm lâm sàng trên quy mô quốc tế, công nghệ chip Prima đã chứng minh khả năng cải thiện đáng kể chất lượng cuộc sống của người sử dụng. Các kết quả ghi nhận từ những bệnh nhân đầu tiên đều rất tích cực với mức độ phục hồi thị lực đạt được vượt xa mong đợi ban đầu.
Tỉ lệ cải thiện khả năng đọc của bệnh nhân sau một năm
Nghiên cứu cho thấy sau khoảng một năm sử dụng con chip, hơn 70% bệnh nhân đã có khả năng đọc lại chữ viết với độ rõ nét vừa đủ để thực hiện các hoạt động thường ngày như đọc sách hay báo chí đơn giản. Đây là bước tiến lớn so với trước đây khi họ gần như không thể nhận biết bất cứ ký tự nào.
Các khả năng thị giác phục hồi: đọc chữ, nhận diện khuôn mặt, vật thể
“Ngoài việc đọc chữ, nhiều bệnh nhân còn lấy lại khả năng phân biệt khuôn mặt quen thuộc hay nhận diện các vật thể xung quanh giúp tăng tính độc lập trong sinh hoạt cá nhân. Công nghệ không chỉ mang đến ánh sáng mà còn phần nào phục hồi cảm xúc thông qua giao tiếp xã hội cải thiện rõ rệt.”
Ý kiến chuyên gia về bước ngoặt trong điều trị thị giác nhân tạo
“Các chuyên gia đánh giá đây là một bước ngoặt chưa từng có trong lịch sử điều trị mất thị lực do thoái hóa điểm vàng thể khô bởi nó mở ra hướng đi mới thay vì phải chấp nhận sống chung với khiếm khuyết vĩnh viễn.”
Trải nghiệm thực tế của bệnh nhân sau khi cấy chip
“Những câu chuyện đời thực từ các bệnh nhân trải nghiệm công nghệ chip Prima luôn đầy cảm xúc và lan toả niềm hy vọng mới cho cộng đồng khiếm thị. Qua hành trình phục hồi, họ không chỉ lấy lại ánh sáng mà còn tìm thấy sự tự tin trong cuộc sống thường nhật.”
Câu chuyện của bà Sheila Irvine trước và sau phẫu thuật
“Bà Sheila Irvine là một trong những trường hợp nổi bật từng trải qua quá trình phẫu thuật cấy chip. Trước đó bà gần như mất hoàn toàn thị lực do AMD nhưng sau khi áp dụng công nghệ mới bà đã dần nhìn thấy ánh sáng trở lại và có thể đọc vài dòng chữ đầu tiên sau nhiều năm chịu cảnh bóng tối.”
Quá trình học cách “nhìn theo cách mới”
“Thành công không chỉ nằm ở kỹ thuật cấy ghép mà còn phụ thuộc rất nhiều vào khả năng thích nghi của não bộ với loại tín hiệu mới lạ này. Các bệnh nhân phải luyện tập liên tục để ‘đọc’ thế giới xung quanh bằng cảm nhận khác biệt so với trước kia.”
Những sinh hoạt hàng ngày được phục hồi: đọc thuốc, làm ô chữ
“Những hoạt động tưởng chừng đơn giản như đọc nhãn thuốc hay chơi trò ô chữ lại trở thành niềm vui lớn lao đối với nhiều bệnh nhân hậu phẫu thuật. Điều này giúp họ lấy lại phần nào sự tự chủ trong cuộc sống và giảm bớt phụ thuộc vào sự hỗ trợ của người thân.”
Quy trình phẫu thuật và quá trình phục hồi sau cấy ghép
“Việc cấy ghép con chip điện tử prima diễn ra dưới quy trình chuẩn y khoa nghiêm ngặt nhằm đảm bảo an toàn tối đa cho bệnh nhân cũng như tối ưu hóa kết quả phục hồi chức năng thị giác.”,
“Phẫu thuật thường kéo dài khoảng một vài giờ đồng hồ dưới sự giám sát chặt chẽ của đội ngũ y bác sĩ chuyên môn cao cùng trang thiết bị hiện đại.”
Thời gian phẫu thuật và kích hoạt thiết bị
“Sau khi hoàn tất quá trình phẫu thuật đặt con chip dưới võng mạc, thiết bị sẽ được kích hoạt ngay hoặc sau vài tuần tuỳ theo kết quả kiểm tra sức khỏe mắt nhằm đảm bảo môi trường ổn định nhất cho con chip hoạt động.”
Thời gian luyện tập để não thích nghi với tín hiệu mới
“Giai đoạn tiếp theo là quá trình luyện tập dài hơi để não bộ làm quen với cách thức tiếp nhận tín hiệu điện tử thay vì ánh sáng tự nhiên truyền thống. Người dùng cần kiên trì luyện tập từng bước để mở rộng khả năng quan sát từ việc phân biệt ánh sáng đến nhận diện hình dạng chi tiết.”
Tính năng hỗ trợ trên kính thông minh đi kèm
“Thiết bị đi kèm bao gồm kính thông minh tích hợp camera cùng phần mềm xử lý hình ảnh giúp nâng cao chất lượng tín hiệu gửi đến con chip cũng như cung cấp thêm tính năng hỗ trợ như tùy chỉnh độ sáng hay tương phản nhằm phù hợp hơn với từng môi trường khác nhau.”
Tiềm năng phát triển và ứng dụng trong tương lai
“Công nghệ Prima không chỉ mở ra tia hy vọng cho hàng triệu người mắc chứng thoái hóa điểm vàng mà còn đặt nền móng cho hướng phát triển mới trong lĩnh vực y học thần kinh kỹ thuật số hiện đại.”,
“Nhiều nghiên cứu đang tiếp tục mở rộng phạm vi ứng dụng của con chip điện tử giúp hỗ trợ điều trị đa dạng các chứng rối loạn về thị giác cũng như khả năng kết nối các thiết bị tương tác neuron khác.”
Phát triển bởi công ty công nghệ sinh học hàng đầu tại Mỹ
“Dự án được phát triển bài bản bởi một công ty công nghệ sinh học danh tiếng ở Mỹ với đội ngũ chuyên gia giàu kinh nghiệm cùng nguồn tài chính mạnh mẽ nhằm đảm bảo tiến độ nghiên cứu cũng như chất lượng sản phẩm cuối cùng.”
Hợp tác với các cơ quan y tế nhằm đưa công nghệ vào sử dụng đại trà
“Hiện nay hãng đang phối hợp chặt chẽ với các tổ chức y tế trên thế giới để chuẩn hóa quy trình điều trị cũng như thúc đẩy việc phổ cập công nghệ tới cộng đồng rộng lớn hơn nhằm đem lại lợi ích chung cho xã hội.”








